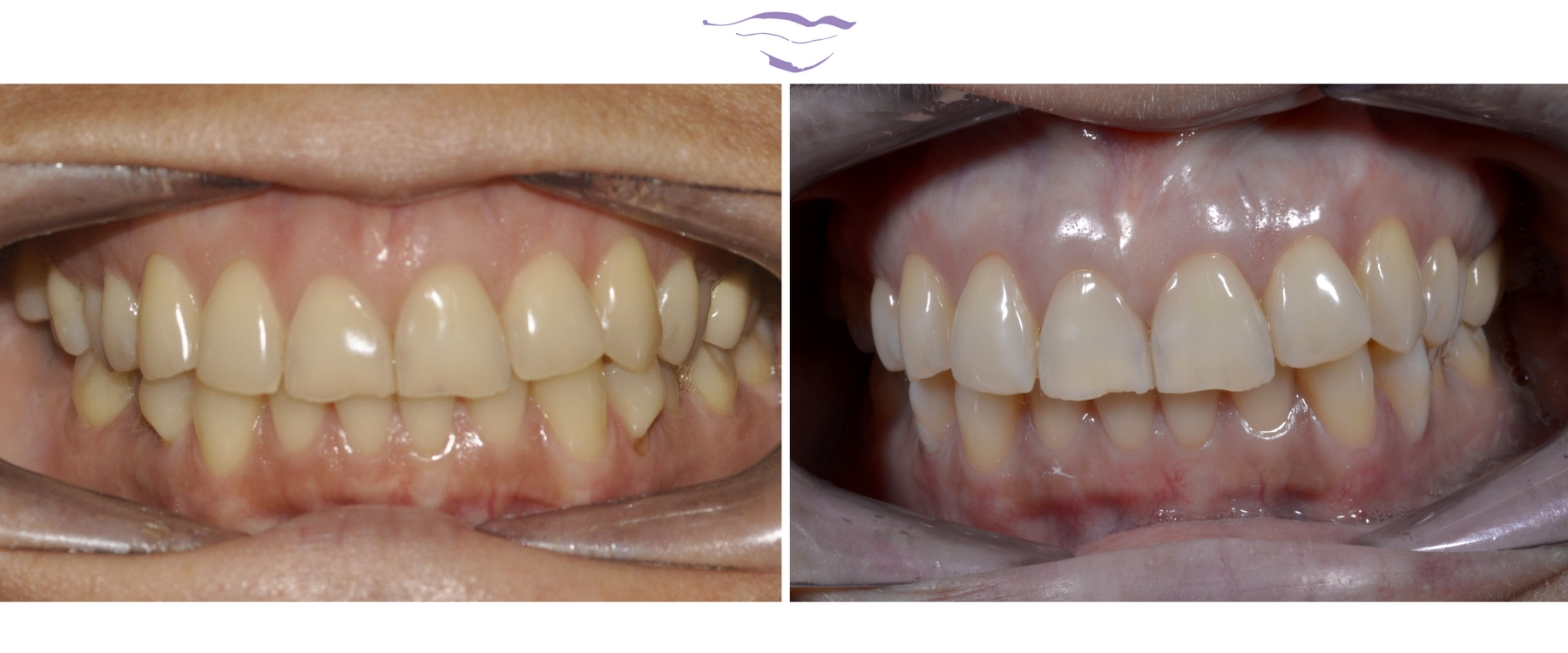
Récession gingivale au laser + blanchiment + facettes falspathiques
Récession gingivale au laser + blanchiment + facettes falspathiques
Récession gingivale au laser + blanchiment + facettes falspathiques
Blanchiment + facettes falspathiques
Blanchiment + facettes falspathiques
Blanchiment + facettes falspathiques
Blanchiment + une facette falspathique
Blanchiment + une facette falspathique
Blanchiment + une facette falspathique avec prise de teinte après blanchiment gain de teinte
Blanchiment + préparation et pose des facettes falspathiques
Blanchiment + préparation et pose des facettes falspathiques
Blanchiment + préparation et pose des facettes falspathiques
Blanchiment + pose de facettes falspathiques
Blanchiment + pose de facettes falspathiques
Blanchiment + pose de facettes falspathiques
Blanchiment + pose arcade entière en facettes falspathiques
Blanchiment + pose arcade entière en facettes falspathiques
Orthodontie aligneurs invisibles + blanchiment + facettes falspathiques
Facettes non taillées + couronnes (H-54 ans)
Facettes non taillées haut + éclaircissement techniques combinées (F - 39 ans)
Mock up haut + bas (JF - 16 ans)
Reprise de facettes taillées plus adaptées (F-40 ans)
Facettes non taillées haut + éclaircissement techniques combinées bas (F - 18 ans)
Facettes non taillées haut + bas ultrawhite (F - 51 ans)
Facettes non taillées haut + bas (F - 27 ans)
Facettes + chips céramiques (H - 45 ans)
Facettes monolithiques bas + une en haut (F - 58 ans)
Facettes non taillées haut + éclaircissement ambulatoire (F - 46 ans)
Facettes non taillées haut + bas ultrawhite (H - 50 ans)
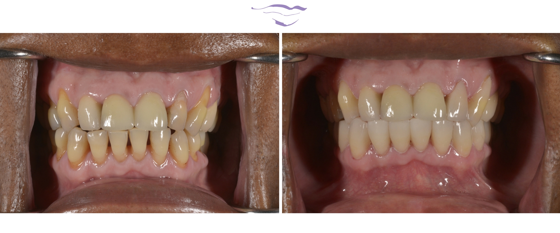
Facettes non taillées bouche complète (H - 68 ans)
Deux facettes non taillées sur incisives + éclaircissement techniques combinées (F - 24 ans)
Facettes non taillées haut et bas (F - 73 ans)
Facettes non taillées + couronnes (F - 39 ans)
Facettes non taillées bas (F - 69 ans)
Facettes non taillées canines + prémolaires haut (F - 48 ans)
Facette taillée sur incisive (F - 34 ans)
Facettes taillées + non taillées en latéral haut + éclaircissement techniques combinées (H - 39 ans)
Facettes non taillées haut et bas + réfection 1 couronne haut / 1 couronne bas (F - 30 ans)
Eclaircissement techniques combinées (F - 46)
Facette unitaire non taillée (H - 28 ans)
Couronnes haut et bas (H - 55 ans)
Facettes non taillées haut et bas + réfection 1 couronne haut / 1 couronne bas (F- 30 ans)
Facettes non taillées haut et bas (H - 46 ans)
Pose de facettes non taillées
Pose de facettes non taillées
Pose de facettes non taillées
Pose de facettes non taillées
Pose de couronnes
Pose de facettes
Pose de facettes non taillées
Pose de facettes non taillées
Pose de 2 facettes non taillées (37 ans)
Pose de facettes non taillées
Pose de facettes provisoires non taillées
Pose de facettes temporaires
Pose de facettes non taillées
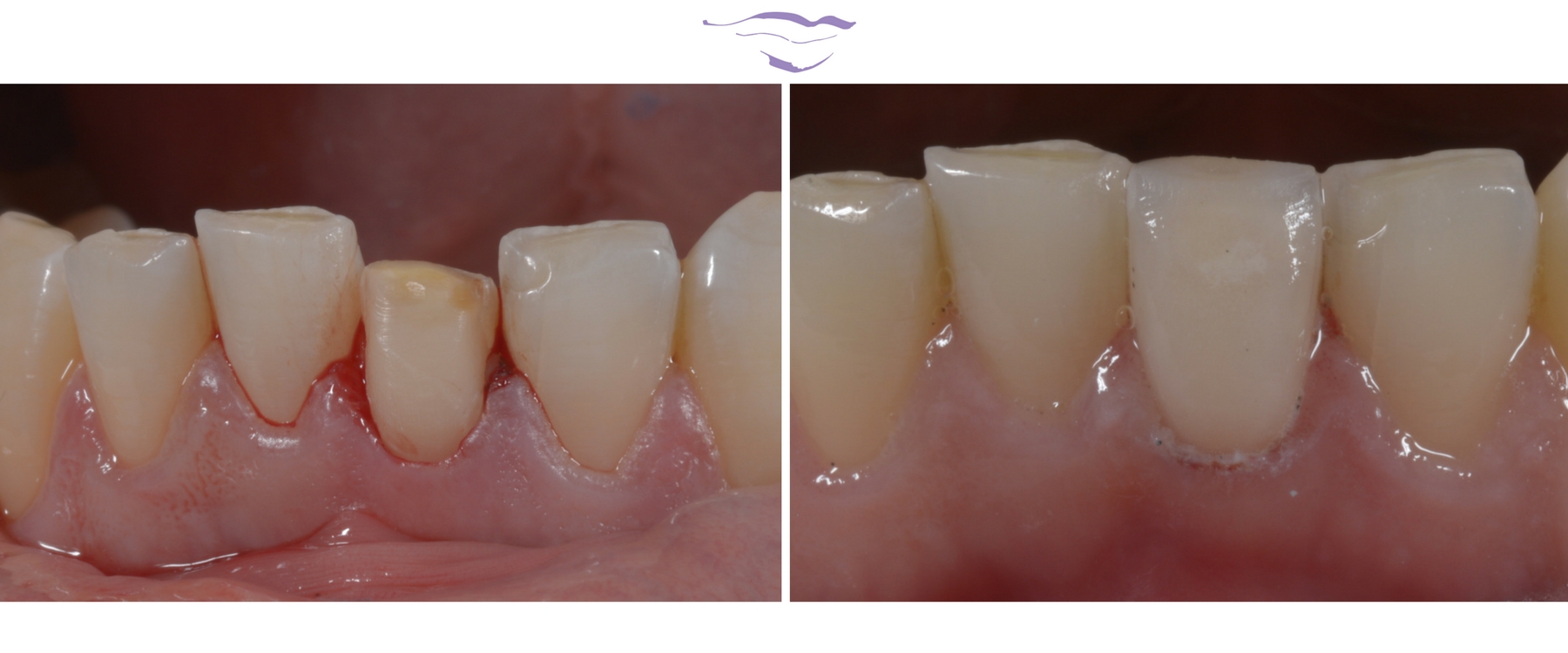
Pose d'une facette non taillée après éclaircissement







<
>
>